We are on the side of the Tapestry apartment building facing Medical Center Drive
We are on the side of the Tapestry apartment building facing Medical Center Drive

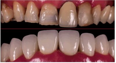
Unlike porcelain veneers, composite veneers allow for very minimal to no shaving on natural teeth to achieve that perfect smile.
Start smiling the same day. Unlike porcelain veneers which takes weeks to complete, composite veneers restorations are often completed the same day.
Most times with composite veneers you can go back to your natural teeth if you ever change your mind.
We accept most major insurance plans and offer a range of payment options to make dental care more affordable. Contact us to learn more about our insurance and payment options.
Closes gaps, reshapes teeth, fixes
chips, improves color
We use cookies to analyze website traffic and optimize your website experience. By accepting our use of cookies, your data will be aggregated with all other user data.